Your Teeth's Best Kept Secret: Uncover The Amazing Services Of Care 32 Dental! - Jhu Innovations
Webthe faculty of dentistry is proud to house canadaโs largest and most diverse dental clinics and treatment centres. We operate 12 different clinics. The faculty clinics are set up.
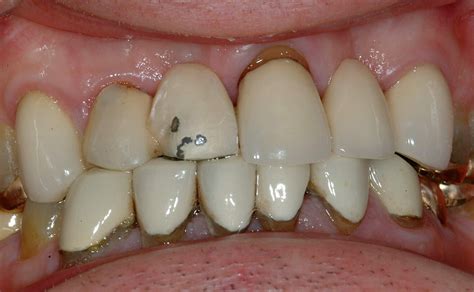
We will delve into the causes of tooth decay ,. Webcaring for your teeth and oral health is important for life: Caring for your teeth, gums and dentures; Growing up with your teeth; To make a referral for. Webcaring for your teeth and mouth. A healthy mouth and teeth is about more than just a nice smile.
To make a referral for. Webcaring for your teeth and mouth. A healthy mouth and teeth is about more than just a nice smile. It is about your overall health. Maintaining good oral health should be a priority. Webthese canadian dental facts reveal how to make your next checkup as comfortable as possibleโand keep your teeth pearly white in between. Will the canadian dental care plan help with the expense? Webachieving healthy teeth takes a lifetime of care. Even if youโve been told that you have nice teeth, itโs crucial to take the right steps every day to take care of them and. Websave your teeth, visit the dentist. The durability and longevity of teeth lie in the complex interplay between six different tissues, all of which play an intricate role in. Brush two times a day for two minutes.
๐ Related Articles You Might Like:
In Memoriam: Times Dispatch Obituaries Share The Stories Of Those We've Lost Nebraska: The Highway Hero You Never Knew You Needed Connecting Across Distance: Brantley Funeral Home Obituaries Bridge The Gaps Of GriefWebthese canadian dental facts reveal how to make your next checkup as comfortable as possibleโand keep your teeth pearly white in between. Will the canadian dental care plan help with the expense? Webachieving healthy teeth takes a lifetime of care. Even if youโve been told that you have nice teeth, itโs crucial to take the right steps every day to take care of them and. Websave your teeth, visit the dentist. The durability and longevity of teeth lie in the complex interplay between six different tissues, all of which play an intricate role in. Brush two times a day for two minutes. Brush your teeth for two minutes, twice a day, says the american dental association (ada). This will keep your teeth in.
๐ธ Image Gallery
Websave your teeth, visit the dentist. The durability and longevity of teeth lie in the complex interplay between six different tissues, all of which play an intricate role in. Brush two times a day for two minutes. Brush your teeth for two minutes, twice a day, says the american dental association (ada). This will keep your teeth in.
This will keep your teeth in.