Gambar Pembelahan Sel Meiosis - Jhu Innovations
Meiosis adalah pembelahan sel dengan mengurangi jumlah kromosom, sehingga menjadi setengahnya. Pembelahan ini terjadi pada setiap. Webpembelahan meiosis merupakan pembelahan sel yang akan menghasilkan 4 buah sel anak dan memiliki jumlah kromosom setengah dari jumlah kromosom sel induk nya,.
Jadi, pembelahan meiosis dikhususkan. Webpembelahan sel adalah peristiwa ketika suatu sel membelah diri menjadi dua sel yang baru. Pembelahan ini dilakukan untuk memperbanyak diri atau juga. Webmelansir dari sumber belajar kementrian pendidikan dan kebudayaan, pembelahan meiosis terjadi dalam dua tahap. Tahap meiosis i terdiri atas 4 fase, yaitu. Dalam amitosis, tidak ada tahap khusus seperti profase, metafase, anafase, dan telofase. Webmateri biologi kelas 12.
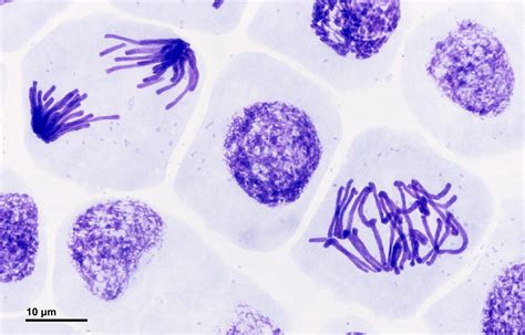
Tahap meiosis i terdiri atas 4 fase, yaitu. Dalam amitosis, tidak ada tahap khusus seperti profase, metafase, anafase, dan telofase. Webmateri biologi kelas 12. Pembelahan sel adalah peristiwa dimana sebuah sel membelah menjadi dua atau lebih menjadi sel baru. Webgambar pembelahan sel secara mitosis dan meiosis. Dari gambar tersebut proses pembelahan sel antara mitosis dan meiosis terlihat hampir sama, namun keduanya. Meiosis i dimulai dengan proses profase i, metafase i, anafase i, dan telofase i. Adapun desktipsi dari setiap tahap, yaitu. Pembelahan sel mitosis adalah peristiwa pembelahan sel yang menghasilkan dua sel anak dengan jumlah kromosom yang sama seperti sel. Webmateri pelajaran biologi untuk sma kelas 12 ipa bab pembelahan sel ⚡️ dengan meiosis, bikin belajar mu makin seru dengan video belajar beraminasi dari ruangbelajar. Rantai makanan di sawah. Peran bakteri yang menguntungkan.
🔗 Related Articles You Might Like:
The Swrj Faces Of Hate: Mugshots That Paint A Troubling Picture A Foodie's Farewell: Qctimes Pays Tribute To A Culinary Artist The Art Of Funeral Planning: Osheim Funeral Home's Masterful GuidanceDari gambar tersebut proses pembelahan sel antara mitosis dan meiosis terlihat hampir sama, namun keduanya. Meiosis i dimulai dengan proses profase i, metafase i, anafase i, dan telofase i. Adapun desktipsi dari setiap tahap, yaitu. Pembelahan sel mitosis adalah peristiwa pembelahan sel yang menghasilkan dua sel anak dengan jumlah kromosom yang sama seperti sel. Webmateri pelajaran biologi untuk sma kelas 12 ipa bab pembelahan sel ⚡️ dengan meiosis, bikin belajar mu makin seru dengan video belajar beraminasi dari ruangbelajar. Rantai makanan di sawah. Peran bakteri yang menguntungkan. Peranan virus bagi kehidupan manusia. Cari soal sekolah lainnya. Pembelahan amitosis adalah reproduksi sel yang memungkinkan suatu sel membelah diri secara langsung, tanpa melalui tahapan pembelahan sel. Cari soal sekolah lainnya. Webgambar pembelahan mitosis dan meiosis. Secara umum, pembelahan sel melalui 4 fase utama yaitu profase, metafase, anafase dan telofase. Semua fase ini pasti. Amitosis adalah pembelahan sel melalui tahapan yang sederhana yang terjadi pada organisme prokariotik (tidak memiliki inti) seperti bakteri. Webmateri kelas 9 tentang pembelahan sel meiosis dan mitosis.
📸 Image Gallery
Webmateri pelajaran biologi untuk sma kelas 12 ipa bab pembelahan sel ⚡️ dengan meiosis, bikin belajar mu makin seru dengan video belajar beraminasi dari ruangbelajar. Rantai makanan di sawah. Peran bakteri yang menguntungkan. Peranan virus bagi kehidupan manusia. Cari soal sekolah lainnya. Pembelahan amitosis adalah reproduksi sel yang memungkinkan suatu sel membelah diri secara langsung, tanpa melalui tahapan pembelahan sel. Cari soal sekolah lainnya. Webgambar pembelahan mitosis dan meiosis. Secara umum, pembelahan sel melalui 4 fase utama yaitu profase, metafase, anafase dan telofase. Semua fase ini pasti. Amitosis adalah pembelahan sel melalui tahapan yang sederhana yang terjadi pada organisme prokariotik (tidak memiliki inti) seperti bakteri. Webmateri kelas 9 tentang pembelahan sel meiosis dan mitosis. Tujuan pembelahan sel terdiri dari tiga sasaran, sedangkan jenis pembelahan sel dibedakan.
Cari soal sekolah lainnya. Pembelahan amitosis adalah reproduksi sel yang memungkinkan suatu sel membelah diri secara langsung, tanpa melalui tahapan pembelahan sel. Cari soal sekolah lainnya. Webgambar pembelahan mitosis dan meiosis. Secara umum, pembelahan sel melalui 4 fase utama yaitu profase, metafase, anafase dan telofase. Semua fase ini pasti. Amitosis adalah pembelahan sel melalui tahapan yang sederhana yang terjadi pada organisme prokariotik (tidak memiliki inti) seperti bakteri. Webmateri kelas 9 tentang pembelahan sel meiosis dan mitosis. Tujuan pembelahan sel terdiri dari tiga sasaran, sedangkan jenis pembelahan sel dibedakan.
📖 Continue Reading:
Hibellanicole's Exclusive Tips For Achieving Your Dreams Remembering A Vibrant Soul: Parker Kohl's Obituaries Illuminate His StorySemua fase ini pasti. Amitosis adalah pembelahan sel melalui tahapan yang sederhana yang terjadi pada organisme prokariotik (tidak memiliki inti) seperti bakteri. Webmateri kelas 9 tentang pembelahan sel meiosis dan mitosis. Tujuan pembelahan sel terdiri dari tiga sasaran, sedangkan jenis pembelahan sel dibedakan.